Puedo hacerle una pregunta simple: ¿sabe qué causa el estreñimiento? Esto es lo que necesita saber: los expertos médicos dicen que el estreñimiento puede ser causado por muchas cosas,
Sabemos que no todos los azúcares son iguales, hay artificiales y hay naturales, pero por donde vayas no hay que evitarlos, todos nuestros alimentos se bombean con ellos. Para
Según los expertos, beber agua tibia con limón por la mañana tiene numerosos beneficios para la salud: hidrata su cuerpo y lo desintoxica, al mismo tiempo que fortalece
A todos nos encanta tener plantas en nuestro hogar porque dan un toque fresco y natural, y huelen muy bien. Sin embargo, muchas personas no saben que las plantas
Hoy en día, muchas personas están decepcionadas con la medicina convencional, por lo que están en la búsqueda de remedios más naturales. Si está buscando un antibiótico totalmente natural
Casi cada vez que veo un cielo despejado y soleado y un clima cálido, corro al supermercado a comprar mucha comida como alitas de pollo, perritos calientes, filetes,
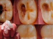
El debilitamiento de la línea de las encías es cuando las encías comienzan a separarse de los dientes, creando un espacio que puede acumularse para la acumulación de
La osteocondrosis del cuello puede ser una condición realmente dolorosa y frustrante. No es incurable ni mortal, y puedes tratarlo con ingredientes naturales. ¡Te damos un remedio casero simple